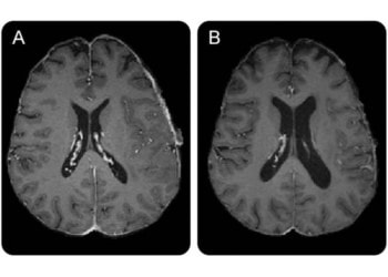
Mindfulness meditation and relaxation response have different effects on brain function
A variety of meditation-based programs have been developed in recent years to reduce stress and medical symptoms and to promote...
Read moreDetailsA variety of meditation-based programs have been developed in recent years to reduce stress and medical symptoms and to promote...
Read moreDetailsA study led by a Massachusetts General Hospital pediatrician finds that children ages 3 to 7 who don't get enough...
Read moreDetailsMassachusetts General Hospital (MGH) investigators have developed a novel approach to analyze brainwaves during sleep, which promises to give a...
Read moreDetailsAutism spectrum disorder (ASD) has the dubious distinction of being the fastest-growing developmental disability in the U.S., according to the...
Read moreDetailsA study from Massachusetts General Hospital (MGH) investigators finds that, contrary to what is often believed, around two thirds of...
Read moreDetailsUse of a novel approach to analyzing brain structure that focuses on the shape rather than the size of particular...
Read moreDetailsMathematical modeling of the brain scans of patients with Alzheimer's disease and others at risk for the devastating neurodegenerative disorder...
Read moreDetailsA follow up to a previous study finding an association between adolescent bipolar disorder and the incidence of cigarette smoking...
Read moreDetailsAre there any ways of preventing or delaying the development of Alzheimer's disease or other forms of age-associated dementia? While...
Read moreDetailsA novel PET radiotracer developed at the Martinos Center for Biomedical Imaging at Massachusetts General Hospital (MGH) is able for...
Read moreDetailsHow does the cross-talk between brain networks change when working memory - the mental assembly of information needed to carry...
Read moreDetailsRepeat intravenous treatment with low doses of the anesthetic drug ketamine quickly reduced suicidal thoughts in a small group of...
Read moreDetailsA study from Massachusetts General Hospital (MGH) researchers finds that the brains of young adult marijuana users react differently to...
Read moreDetailsA study from Massachusetts General Hospital (MGH) Cancer Center researchers - the first to examine the effects of combined radiation...
Read moreDetailsAmid reports that rank today's teens as the most stressed generation in the country, a new study offers hope for...
Read moreDetailsPsyPost is a psychology and neuroscience news website dedicated to reporting the latest research on human behavior, cognition, and society. (READ MORE...)