Rather than a single hyperactive area causing emotional instability, recent research points to network-wide communication. Scientists found that neuroticism involves tight connections between the brain's threat detector and systems that manage memory and self-control.
Read moreDetailsA recent study shows that combining magnetic brain scans with computer models can safely measure how dementia medications affect living human brains. This approach could replace invasive tests and speed up the development of new treatments for Alzheimer's disease.
Read moreDetailsA high-fat diet can cause the intestinal lining to weaken, allowing live gut bacteria to travel directly to the brain in mice. Published in PLOS Biology, these findings suggest digestive health might directly influence human neurological conditions.
Read moreDetailsPoor nutrition during pregnancy sets the stage for future brain health issues. Scientists discovered that a brief taste of unhealthy food in adulthood sparks massive inflammation in rats exposed to a high-fat diet before weaning.
Read moreDetailsResearchers found a rare, strictly binary brain feature in mice that is permanently active in females but completely dormant in adult virgin males, only turning on after males mate. (
Read moreDetailsResearchers found that the cells of young adults with depression overproduce energy while resting but struggle to respond to stress. This discovery provides a physical explanation for depression-related fatigue and points toward new ways to treat it.
Read moreDetailsA new study shows that improving your cardiovascular endurance changes your neural chemistry. Fitter individuals release larger amounts of a restorative protein after a single workout, which helps the brain manage its energy more efficiently.
Read moreDetailsUsing brain scans and parent surveys, scientists discovered that infants in households struggling to make ends meet show delayed brain maturation. A mother's feeling of income insufficiency proved to be the strongest predictor of these delays.
Read moreDetailsLingering inflammation from viruses like COVID-19 or HIV can take a lasting toll on the brain. New research shows exactly how specific immune system imbalances lead to memory lapses and slowed thinking.
Read moreDetailsA new neuroimaging study suggests that people who frequently control their dreams share distinct structural brain patterns. These networks bridge the areas responsible for self-reflection, visual imagery, and cognitive control.
Read moreDetailsA recent study suggests that high psychopathic traits are linked to reduced thickness in brain regions responsible for processing emotions. This neural pattern appears consistently, regardless of a person's criminal history.
Read moreDetailsA recent study in Translational Psychiatry shows that one dose of DMT reversed loss of pleasure and cognitive deficits in stressed mice. The psychedelic promoted new brain cell growth, highlighting its potential as a rapid-acting antidepressant.
Read moreDetailsScientists have mapped a direct link between a common brain gas and the hyperactive cell growth often seen in autism. Protecting a specific protein from this gas normalized behavior in animal models and human cell cultures.
Read moreDetailsA recent study in Psychiatry Research: Neuroimaging suggests that hearing voices in borderline personality disorder is tied to reduced gray matter in specific brain regions. This provides evidence for shared physical mechanisms of hallucinations across mental health conditions.
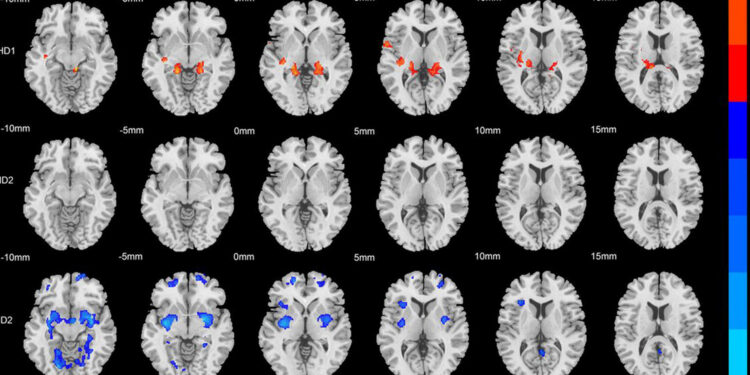
Read moreDetailsA recent brain imaging study reveals that attention deficit hyperactivity disorder consists of at least two distinct physical subtypes. This discovery suggests that patients may eventually benefit from highly personalized treatments based on their unique biology.
Read moreDetailsPsyPost is a psychology and neuroscience news website dedicated to reporting the latest research on human behavior, cognition, and society. (READ MORE...)